Ever looked in the mirror and wondered if veneers or bonding could fix that small chip or uneven tooth? You’re not alone. Thousands of Canadians face the same decision when improving their smiles — balancing cost, time, and results.
In this guide, we’ll break down everything you need to know: how veneers and bonding differ, what to expect from each procedure, and how to choose the one that fits your goals, budget, and lifestyle. By the end, you’ll have a clear picture of which treatment can truly make your smile shine.
Key Takeaways
- Dental veneers and tooth bonding both improve the look of teeth, but they differ in durability, cost, and appearance.
- Veneers typically last 10–15 years or more, while bonding may last 3–7 years.
- Veneers cost significantly more, but offer superior stain resistance and a more natural translucency.
- Bonding is less invasive and quicker, making it ideal for small cosmetic corrections.
What Are the Main Differences Between Dental Veneers and Bonding?
You’ve likely heard both terms tossed around at the dentist’s office — but what truly separates dental veneers from bonding? Though both aim to enhance the smile’s appearance, they differ in materials, techniques, and longevity.
Definition of Veneers vs. Bonding
- Dental veneers are thin, custom-made shells — usually crafted from porcelain or composite resin — designed to cover the front surface of a tooth. They’re often used for more extensive cosmetic makeovers.
- Tooth bonding, on the other hand, involves applying a mouldable composite resin directly onto the tooth, sculpting it, and curing it with a special light. It’s best suited for minor chips, gaps, or discolouration.
Materials and Procedure Basics
- Veneers: Most modern veneers are made of porcelain, prized for its lifelike translucency and stain resistance. The procedure typically requires removing a small portion of enamel, taking impressions, and bonding the veneers in a later appointment.
- Bonding: This process uses tooth-coloured composite resin that is directly applied to the tooth in a single visit. No enamel removal is usually required, making it minimally invasive.
| Feature | Dental Veneers | Dental Bonding |
|---|---|---|
| Material | Porcelain or composite resin | Composite resin |
| Procedure Time | 2–3 visits | 1 visit |
| Durability | 10–15 years | 3–7 years |
| Stain Resistance | Excellent | Moderate |
| Cost (approx.) | $1,000–$2,500 per tooth | $200–$600 per tooth |
| Reversibility | Irreversible | Reversible |
| Best For | Major cosmetic changes | Minor touch-ups and repairs |
Expert insight: “Veneers provide a more durable and aesthetic long-term solution, especially for patients seeking a complete smile transformation,” says Dr. Blair Farbstein. “Bonding is a wonderful option for smaller cosmetic fixes or when budget is a concern.”
How Much Does Teeth Bonding Cost Compared to Veneers?
Dental aesthetics don’t just vary by material cost is a major differentiator. Across Canada, the price range for bonding versus veneers varies widely, depending on materials and clinic location.
Cost Breakdown and Insurance Coverage
- Dental bonding: Typically $200–$600 per tooth, depending on the complexity of the repair and resin quality.
- Porcelain veneers: Between $1,000–$2,500 per tooth, sometimes higher in major cities such as Toronto or Vancouver.
- Composite veneers: Range between $500–$1,000 per tooth, offering a balance between durability and affordability.
Insurance coverage varies; most dental insurance plans do not cover cosmetic procedures unless the treatment is deemed medically necessary (e.g., repairing a chipped tooth).
Average Regional Prices
| Region | Bonding (per tooth) | Veneers (per tooth) |
|---|---|---|
| Ontario | $250–$550 | $1,000–$2,200 |
| British Columbia | $300–$600 | $1,200–$2,500 |
| Quebec | $200–$500 | $900–1,800 |
| Alberta | $250–$550 | $1,100–2,300 |
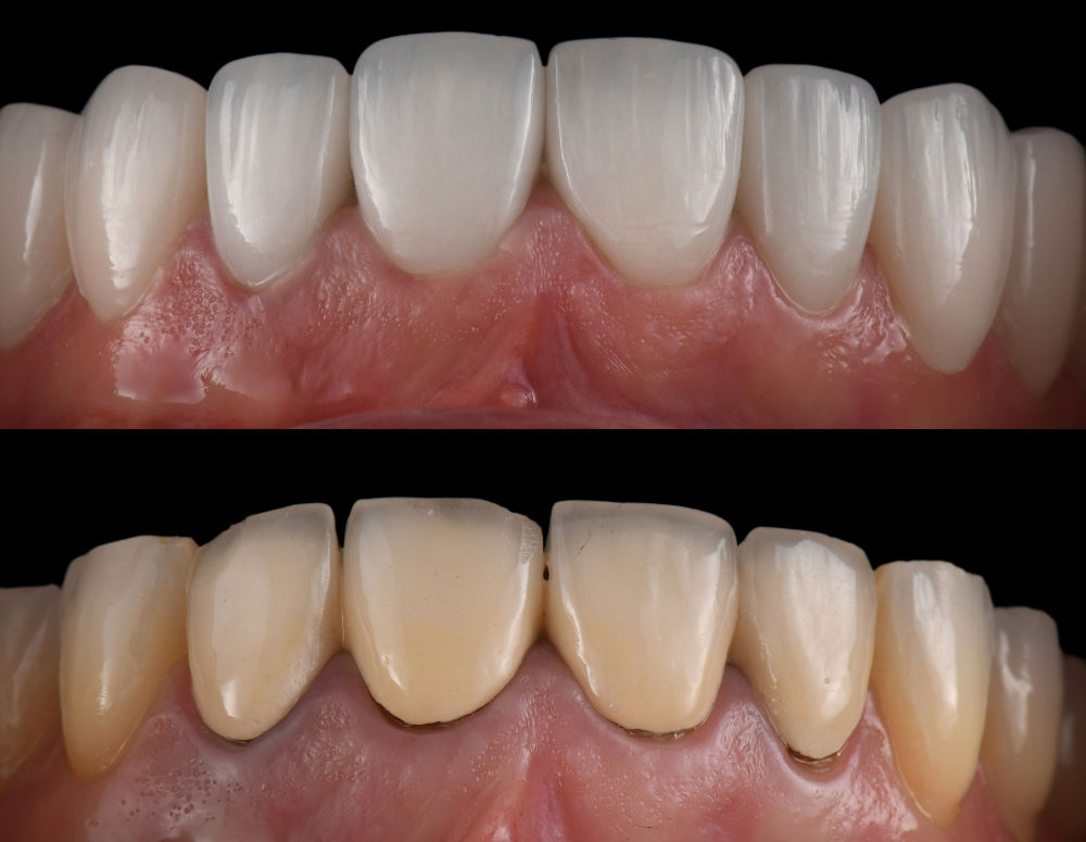
How Do Veneers and Bonding Differ in Appearance?
Aesthetic results are often what patients care about most — and rightly so. The subtle differences in texture, light reflection, and stain resistance can significantly affect the outcome.
Natural Look and Shade Match
- Veneers mimic the translucency of enamel, allowing light to pass through in a way that looks remarkably natural.
- Bonding can achieve good results, but the composite resin’s opacity sometimes makes it slightly less lifelike — especially under bright lighting.
- Veneers can be precisely colour-matched and remain consistent over the years; bonding, however, may require retouching as resin can stain or dull over time.
Texture and Stain Resistance
Porcelain’s smooth surface naturally repels coffee, wine, and tobacco stains. Because composite resin is more porous, it absorbs pigments faster and often requires polishing or replacement after several years. This makes veneers ideal for patients who regularly consume staining foods or drinks.
In studies evaluating the colour stability of aesthetic dental materials, researchers have consistently found that porcelain (ceramic) restorations generally maintain their original colour better over time than resin-based composites, which are more prone to staining. Laboratory analyses show that composite resins tend to undergo perceptible colour changes when exposed to common staining agents such as coffee, tea, or wine, whereas porcelain materials exhibit superior long-term colour resistance due to their dense, non-porous structure — a key reason they are commonly chosen for cosmetic veneers.
Is Bonding or Veneers Better for Chipped or Cracked Teeth?
When a tooth chips or cracks, it’s natural to wonder which restoration — bonding or veneers — offers the best fix. The answer depends on the size, depth, and visibility of the damage, as well as the patient’s long-term goals.
Use Cases and Severity
- Minor chips or cracks: For small edge fractures or surface-level cracks, bonding is typically preferred. The composite resin can be colour-matched and moulded to seamlessly blend with the existing tooth, restoring shape and function in one appointment.
- Moderate to severe cracks: When damage significantly affects tooth structure or aesthetics, veneers provide better coverage and strength. Porcelain serves as a durable shell, protecting compromised enamel and improving appearance.
- Extensive structural damage: If the crack reaches the dentin or pulp, neither bonding nor veneers may suffice — a crown or root canal could be necessary first.
Dr. Yonit Levin adds: “A veneer essentially acts as a cosmetic shield, whereas bonding repairs localized damage. The right choice depends on how compromised the enamel really is.”
Step-by-Step Guide: Treatment Process
Bonding
- Tooth cleaning and shade selection.
- Application of a gentle etching gel to roughen the enamel.
- Resin application, sculpting, and light-curing in layers.
- Final polishing for a natural shine.
Veneers
- Initial consultation and smile design.
- Enamel reduction (0.3–0.7 mm typically).
- Impression or digital scan for custom veneer fabrication.
- Temporary veneers (optional).
- Permanent veneer bonding at a second visit.
How Long Does Each Procedure Take from Consultation to Completion?
Time commitment matters — especially for patients balancing dental visits with busy schedules. Veneers and bonding differ in both chair time and total treatment duration.
Time for Preparation
- Bonding: Usually completed in a single visit (30–60 minutes per tooth). No laboratory work is required, which makes it ideal for same-day repairs.
- Veneers: Require 2–3 visits — one for assessment and impressions, and another for final placement. Fabrication typically takes 1–3 weeks, depending on the dental lab’s schedule.
Step-by-Step Guide
Bonding Timeline
- Consultation (Day 1): Dentist evaluates and matches resin shade.
- Procedure (Same Day): Surface is prepared, and resin is applied and hardened.
- Completion: You leave with the final result within an hour or two.
Veneers Timeline
- Consultation (Day 1): Smile analysis, digital scan, and discussion of aesthetic goals.
- Preparation Visit (Week 1): Enamel trimming and impression-taking.
- Fabrication Period (1–3 Weeks): Custom veneers crafted at the lab.
- Final Bonding (Week 2–4): Veneers are permanently placed and polished.
Which Is More Suitable for Sensitive Teeth: Veneers or Bonding?
Sensitivity can make cosmetic dentistry tricky. The choice between veneers and bonding largely depends on the extent of enamel alteration and how each material responds to temperature changes.
Temperature Response
- Veneers: Porcelain is highly resistant to temperature changes, helping to insulate the tooth. Once bonded, it provides a protective barrier against cold or heat sensitivity.
- Bonding: Composite resin conducts temperature slightly more than porcelain, which can cause mild sensitivity for a few days post-procedure — though this usually subsides quickly.
Enamel Preservation
Bonding removes little to no enamel, making it an excellent choice for patients prone to sensitivity. Veneers, however, require minimal enamel removal (typically 0.5 mm), which can temporarily increase sensitivity until the tooth adapts.
- Bonding is most effective for small chips, short timelines, and patients with high sensitivity.
- Veneers are ideal for moderate cracks, major aesthetic upgrades, and long-lasting results.
- Consultation and proper diagnosis remain key — no single solution fits all cases.
- Both options can deliver outstanding outcomes under professional care and informed decision-making.
Can Bonding or Veneers Fix Gaps and Uneven Teeth?
Many patients wonder if they can skip braces and use bonding or veneers to correct gaps or uneven teeth. The truth? Both can improve alignment visually, but only within cosmetic limits.
Orthodontic vs. Cosmetic Correction
- Orthodontic correction (e.g., braces or aligners) actually moves teeth into better positions. It’s best for functional bite issues, crowding, or major gaps.
- Cosmetic correction (bonding or veneers) disguises imperfections on the tooth surface. These methods make teeth appear straighter and more even, but they don’t change their physical position.
Case Types Suitable for Bonding or Veneers
| Case Type | Bonding | Veneers |
|---|---|---|
| Small gaps (diastemas < 2mm) | Effective | Effective |
| Moderate gaps (2–4mm) | Temporary aesthetic fix | Strong, durable solution |
| Uneven or worn edges | Simple restoration | Best for uniformity |
| Rotated or misaligned teeth | Limited results | Effective for minor rotations |
| Severe misalignment | Orthodontics required | Orthodontics required |
Results and Aesthetic Impact
- Bonding: Ideal for closing small gaps or evening out minor size differences. The composite material is sculpted to match neighbouring teeth and cured instantly.
- Veneers: Provide a complete surface overhaul — not only closing gaps but also improving shape, symmetry, and brightness. They create a “Hollywood smile” effect when multiple teeth are treated.
A 2022 study in the Journal of Cosmetic Dentistry found that patients using veneers for diastema closure reported higher satisfaction and colour uniformity after three years than those with composite bonding. However, bonding remained a cost-effective, minimally invasive option for smaller corrections.
How Often Do Bonding or Veneers Need Replacement or Repair?
Even the best cosmetic treatments don’t last forever. The lifespan and maintenance of bonding and veneers depend on the materials used, oral habits, and routine care.
Longevity vs. Wear
| Factor | Dental Bonding | Veneers |
|---|---|---|
| Average Lifespan | 3–7 years | 10–15 years |
| Resistance to Chipping | Moderate | High |
| Stain Resistance | Moderate | Excellent |
| Polish Retention | 1–2 years | 5–10 years |
| Replacement Frequency | More frequent | Less frequent |
Common Damage Incidents
- Bonding: Can chip or wear from nail-biting, grinding, or chewing hard foods. Stains may develop from coffee, tea, or wine over time.
- Veneers: While stronger, they can crack from trauma or excessive pressure (e.g., biting hard nuts). Edge debonding may occur if the adhesive weakens over time.
Maintenance and Repair
Bonding repairs are relatively simple: the dentist can reapply or polish resin in one visit. Veneers require more complex work — sometimes a full replacement if damaged.
Maintenance Tips
- Avoid biting hard objects like ice or pens.
- Schedule professional polishing annually.
- Use a soft-bristled toothbrush and non-abrasive toothpaste.
- Wear a nightguard if you clench or grind.
What Are the Long-Term Care Requirements for Bonding and Veneers?
Achieving a beautiful smile is just the first step — maintaining it over the years requires consistent care and mindful habits. Both bonding and veneers can last well beyond their average lifespan with proper maintenance.
Daily Oral Hygiene
- Brushing: Use a soft-bristled toothbrush and non-abrasive fluoride toothpaste twice daily. Avoid whitening toothpastes containing silica, which can dull resin and scratch porcelain surfaces.
- Flossing: Floss gently between teeth daily. For veneers, use a floss threader or interdental brush to avoid dislodging the edges.
- Mouthwash: Choose an alcohol-free mouthwash to protect the bonding adhesive and prevent dryness.
Special Products and Care Tips
- Use sensitive-tooth formulas if experiencing temporary sensitivity post-procedure.
- Consider remineralizing pastes (e.g., those containing calcium phosphate) to strengthen enamel surrounding bonded areas.
- For veneers, avoid abrasive polishing toothpaste and skip ultrasonic electric brushes unless recommended by your dentist.
Professional Dentist Visits
- Biannual check-ups — Regular cleanings and inspections every 6 months help identify early signs of wear or staining.
- Annual polishing — Both bonding and veneers benefit from professional polishing to restore lustre and remove micro-stains.
- Nightguard fitting — If you grind or clench, a customized guard prevents surface cracks or debonding.
Dr. Mina Ibrahim, DDS, notes: “The simplest way to protect your investment is consistency. Regular maintenance keeps bonding and veneers looking like the day they were placed.”
Step-by-Step Care Routine
- Brush twice daily with gentle, circular motions.
- Floss after meals to remove food particles between restorations.
- Rinse with an alcohol-free mouthwash before bedtime.
- Schedule a professional cleaning every 6 months.
- Avoid biting hard foods (ice, nuts, pens) and staining beverages; rinse afterward.
What Is the Best Choice for My Smile: Veneers or Bonding?
Choosing between veneers and bonding isn’t just about price or looks — it’s about aligning treatment with your goals, budget, and long-term expectations.
Personalized Factors
| Factor | Bonding | Veneers |
|---|---|---|
| Age | Ideal for younger patients or temporary fixes | Better for adults seeking lasting results |
| Budget | Affordable upfront | Higher initial cost but long-term value |
| Treatment Time | One appointment | Two to three appointments |
| Aesthetic Goals | Minor repairs or small enhancements | Full smile transformation |
| Longevity | 3–7 years | 10–15 years or more |
| Maintenance | Requires periodic touch-ups | Minimal if maintained properly |
Every smile is unique. Factors like bite alignment, enamel thickness, and aesthetic goals can only be accurately assessed by a qualified dentist. Before committing, schedule a comprehensive smile evaluation — it ensures the treatment aligns with your dental health and long-term expectations.
Summary
- Bonding: Ideal for short-term, affordable aesthetic fixes and younger patients.
- Veneers: Best for long-term, durable, and high-end cosmetic enhancement.
- Care and consistency determine longevity — not just the material.
- Always consult a certified cosmetic dentist to make an informed, personalized choice.
FAQ Section
1. Are veneers better than bonding for chipped teeth?
Veneers are more durable and better suited to larger chips or visible cracks, while bonding is best for small cosmetic repairs.
2. How long do veneers and bonding last?
Veneers can last 10–15 years or longer with proper care, while bonding typically lasts 3–7 years before needing touch-ups.
3. Do veneers and bonding stain over time?
Porcelain veneers are highly stain-resistant. Composite bonding can discolour over time, especially from coffee, tea, or smoking.
4. Are veneers or bonding covered by dental insurance in Canada?
Most cosmetic procedures aren’t covered unless they are medically necessary, such as repairing a chipped tooth that affects oral function.
5. Can bonding or veneers fix gaps without braces?
Yes, both can cosmetically close small gaps. However, they don’t physically move teeth — major misalignments still require orthodontic treatment.
6. Which option is better for sensitive teeth?
Bonding preserves more enamel and may be safer for sensitive teeth, while veneers offer insulation once placed, reducing long-term temperature sensitivity.
7. How should I care for veneers or bonding long-term?
Brush with a soft toothbrush, floss daily, use alcohol-free mouthwash, and schedule professional cleanings twice a year. Avoid hard foods and staining drinks.




